更新日:2025年9月30日
執筆:福田総合病院 心臓血管外科専門医 米田正始
.
◆エプシュタイン病と三尖弁の問題
。
エプシュタイン病(Ebstein奇形)は、三尖弁の位置や形に異常があり、重症例では弁形成が非常に難しい病気です。
従来の手術成績は安定せず、「外科医泣かせの疾患」と言われてきました。
この状況を大きく変えたのが2007年に登場したコーン(Cone)手術です。
.
◆コーン手術とは?
。
-
三尖弁尖を一度取り外す
-
異常に右室へつながった筋肉を切除
-
弁尖を円錐(コーン)状に組み直す
-
本来の正しい三尖弁輪に縫い付ける
。
という手順で、弁を本来の機能的な形に再建します。
その結果、右心室の働きを取り戻し、三尖弁逆流を劇的に改善できるのです。
この方法は「三尖弁形成術の革命」と呼ばれ、現在ではエプシュタイン病の標準的治療の一つとなっています。
.
◆コーン手術のもう一つの利点 ― 右室形成効果
。
コーン手術では、弁を修復するだけでなく、巨大化した右室を縫縮して正常な形に戻す効果もあります。
そのため、右心房のように拡張してしまった右室を再び本来の右室として機能させることができます。
.
◆MICS(低侵襲心臓手術)でのコーン手術
当院では、先天性心疾患の専門家と連携し、小切開(MICS)でのコーン手術を実現しています。
.
-
通常の胸骨正中切開(約25cmの大きな傷跡)と比べ、骨を切らず傷跡が小さい
-
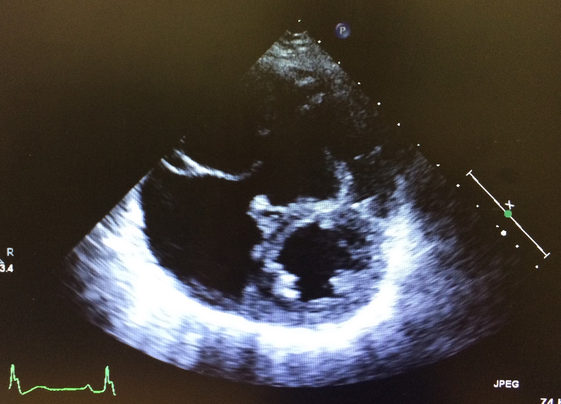
心エコーで見ると、術前は弁が閉じず強い逆流がありましたが、術後は円錐状の弁がきれいに閉じ、逆流がほとんど消失
-
患者さんは顔色が改善し、運動能力も大きく向上
-
傷跡が目立たないため、社会復帰が早く、心理的負担も軽減
.
特にお仕事や外見上の傷が気になる患者さんにとって、大きなメリットがあります。
.
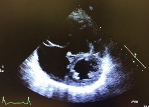
左写真はMICSで行ったコーン手術の術前(上)と術後(下)の心エコー写真です。三尖弁の逆流が減り、巨大だった右室と右房が著明に改善しています。
.
◆安全性への配慮
.
MICSによるコーン手術は魅力的ですが、心臓手術の原則は安全第一です。
-
正中切開と同等の安全性を確保すること
-
慎重な術前検討と綿密な手術計画が必要
これらを守ることで、患者さんにとって本当に有益な心臓手術になります。
.
◆まとめ
.
-
エプシュタイン病は従来難治とされた三尖弁の先天性異常です。
-
コーン手術は、弁を円錐状に再建し右室機能も回復させる革新的な方法です。
-
当院では、MICSによる低侵襲コーン手術を導入し、傷跡の小ささと早期回復を両立しています。
-
安全性を最優先に、患者さん一人ひとりに最適な治療を提供しています。
👉 成人期エプシュタイン病で三尖弁の手術が必要と診断された方は、ぜひご相談ください。
.
心臓手術のご相談はこちら
患者さんからのお便りはこちら
.
.
執筆:米田 正始
福田総合病院心臓センター長 仁泉会病院心臓外科部長
医学博士 心臓血管外科専門医 心臓血管外科指導医
元・京都大学医学部教授
----------------------------------------------------------------------
当サイトはリンクフリーです。ご自由にお張り下さい。






