患者さんは1歳半の男児。生後まもなく拡張型心筋症と診断され内科治療を受けていたが、心不全が悪化し移植も検討されるほどになりました。東京の方なので私どもが出張する形で心臓手術となりました。発作を頻繁に起こし危険な状態となっていました。心室中隔がほぼ全域にわたって薄くなり収縮力を落としていました。
右室心尖部を開け、
心室中隔に達しました。
心室中隔は薄くペラペラで拡張していため、
これを切除しています。
切除し終えたところです。
.
.
.
.
セーブ手術( SAVE手術)のパッチの糸をかけています。
小さいこどもの患者さんのため完全房室ブロックにならない範囲でできるだけ心基部まで形成して左室機能の回復を図りました。
(完全ブロックになりますと永久ペースメーカーが必要になるためです)
左室は良い形とサイズになりました。
あとは心室中隔と右室を閉じるだけです。
.
術後4年が経過しますが患児は元気にしておられます。
.
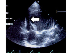
心室中隔が薄くなり瘤のように飛び出して
右室を圧迫しています(矢印)。
これでは血圧も十分でませんし、
心不全が強くて危険です。
手術前の心不全発作の強さがよくわかる写真です。
パッチ(矢印)を心室中隔の深いところまで縫いつけ、
心室中隔の動きのパタンも改善し、
右室への圧迫も軽減しました。
これなら元気に遊ぶようになったことが理解できます。
.
その他の左室形成術へ戻る
お問い合わせはこちらへ
執筆:米田 正始
福田総合病院心臓センター長 仁泉会病院心臓外科部長
医学博士 心臓血管外科専門医 心臓血管外科指導医
元・京都大学医学部教授
----------------------------------------------------------------------
当サイトはリンクフリーです。ご自由にお張り下さい。









